
Smile Gallery
We are in the business of changing lives at Nordonia Dental Group! Take a look at some of the treatment we've done in the past to see how patients just like you have enhanced their smiles.
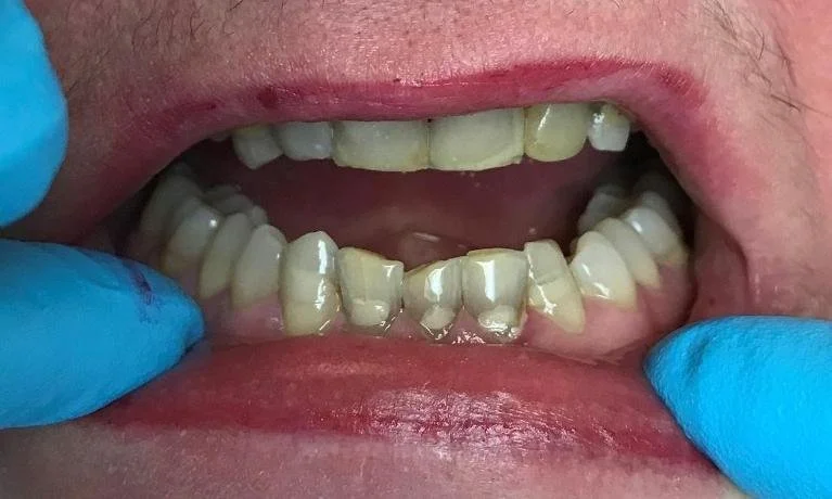
Before
After
Anterior Crowns
Patient was unhappy with the chipping due to a habit of clenching and grinding their teeth. We were able to improve the patient's smile by making ceramic crowns on the front six teeth.
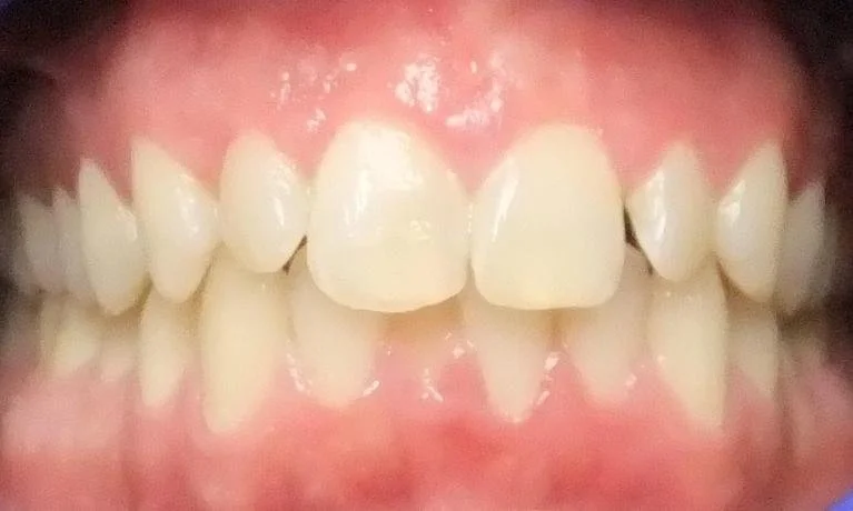
Before
After
Anterior Crowns
The patient was unhappy with how the top and bottom six teeth had changed color, and the fillings did not. We were able to provide a wax up for the patient to see what the front twelve teeth could look like. The patient loved the proposal and proceeded with ceramic crowns on the top and bottom front six teeth.
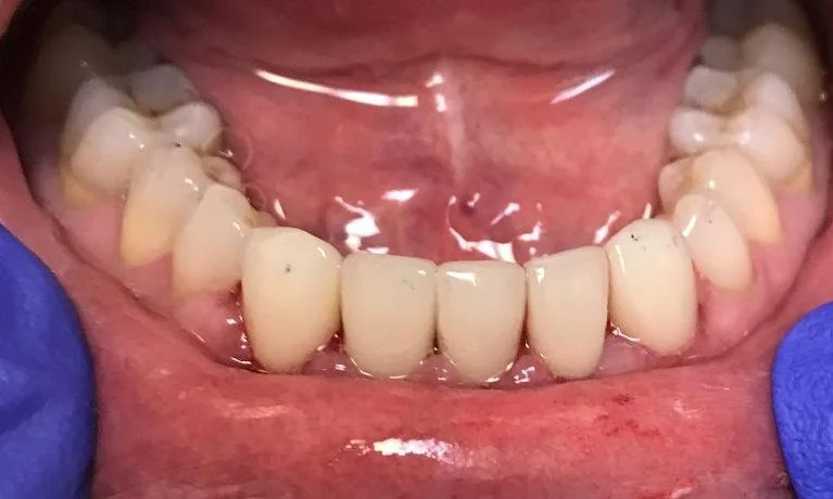
Before
After
Anterior Crowns
The patient had cavities around large fillings in three of their front four teeth. We were able to deliver crowns that matched the one crown they already had present.
Before
After
Suresmile and Invisalign
This patient was unhappy with how crowded his top and bottom teeth were appeared. By wearing ClearCorrect aligners 22 hours a day, we were able to complete treatment in eight months. Per the patient's request, we bonded one of his front teeth to achieve ideal aesthetics.
Before
After
Suresmile and Invisalign
The patient wanted to improve her top midline as well as lower crowding. We were able to align her teeth in about five months and added bondings to her front two teeth to improve her esthetics.
Before
After
ClearCorrect
The patient was unhappy with how their bottom front teeth were crowded. Treatment with clear aligners was able to improve the crowding within about three months.